Skip to main content

Adrenal Gland Segmentation via Test-time Augmentation in CT Imaging

The adrenal glands are two small triangle-shaped organs located above the kidneys which are notoriously difficult to visualise. They are part of the human hormonal system and help with controlling metabolism, blood pressure and stress. Adrenal glands are critically affected by life-changing conditions such as Cushing syndrome and Addison’s disease.

Segmenting the glands in CT images enhances computer-aided diagnosis, surgical planning, and therapy monitoring. The issue is that their small size, variable shape and location, and similarity to surrounding tissues makes accurate segmentation of the glands complex and challenging (his task is important for assessing the effects of microwave ablation during the removal of adrenal tumours).

As part of an international collaboration involving the University of Ulster, Dr Michael Fayemiwo has developed a pipeline algorithm to enhance medical imaging analysis, particularly for visualising specific organs like the adrenal glands. The pipeline involves pre-processing steps , where the CT scan images are cleaned up by adjusting the brightness values (Hounsfield units), improving contrast, and automatically choosing which image slices to use.

Post-processing includes test-time augmentation and removal of unconnected segments. The pipeline was implemented using 2D UNet architecture with four different backbones, namely VGG16, Resnet34, Inceptionv3, and the default UNet. They improve the model’s output by creating extra “test-time” variations of the input (test-time augmentation) and removing any small, isolated blobs that aren’t actually part of the adrenal glands.

After post-processing, all models showed significant performance improvements. Post-processing with Inceptionv3 increased the Dice coefficient by 38% for the left gland and 11% for the right gland, as evaluated on the AMOS dataset. Likewise, Resnet34 showed identical improvements on MICCAI dataset. Overall, the proposed pipeline outperformed existing methods with an 8% improvement in Dice score, highlighting its effectiveness in adrenal gland segmentation from CT scans [3].

 

The process

Dr Fayemiwo used Kelvin 2’s advanced computer techniques to analyse medical images which require a significant amount of computing power and memory to produce efficient results. More accurate medical imaging results in better patient care.

‘Our research shows the importance of leveraging Kelvin2 as an advanced computing resource to tackle complex medical challenges and improve healthcare outcomes for everyone’. Dr Michael Fayemiwo, Research Associate from the University of Ulster

 

Results

The ability to accurately visualise adrenal glands from CT scans is a game-changer for healthcare, it significantly benefits patients by enabling;

  • precise diagnosis
  • personalised treatment planning
  • effective disease monitoring
  • minimised risk
  • ongoing research and development in medical imaging analysis.

‘Research in this area is worthwhile because it directly impacts patient outcomes, improves clinical decision-making, and drives innovation in medical imaging technology and healthcare delivery’.

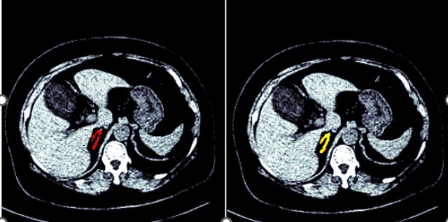
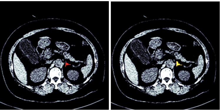
Figures 1 and 2 show the segmented model output for both right and left adrenal gland from a CT scan image from the AMOS dataset.

 

Figure 1: Segmentation of a right adrenal gland (AMOS dataset)

 

Figure 2: Segmentation of a left adrenal gland (AMOS dataset)

 

 

Contact information:

Michael Fayemiwo: m.fayemiwo@ulster.ac.uk

Liam McDaid: lj.mcdaid@ulster.ac.uk

Acknowledgements:

This work was supported by the National Institutes of Health grant R01EB028848, Science Foundation Ireland (SFI) 20=US=3676, HSC R&D - STL=5521=19, and UKRI MRC - MC PC 20021.

 

References:

[1] Yuanfeng J. (2022). Amos: A large-scale abdominal multi-organ benchmark for versatile medical image segmentation [Data set]. Zenodo. https://doi.org/10.5281/zenodo.7155725.

[2] Zhang, G. and Li, Z. (2019). An Adrenal Segmentation Model Based on Shape Associating Level Set in Sequence of CT Images. Journal of Signal Processing Systems. 91:1169–1177. https://doi.org/10.1007/s11265-018-1433-0.

[3] Fayemiwo, M., Gardiner, B., Harkin, J., McDaid, LJ. et al. (2025). A Novel Pipeline for Adrenal Gland Segmentation: Integration of a Hybrid Post-Processing Technique with Deep Learning. Journal Digital Imaging. Informatics in Medicine, Springer-Nature, https://doi.org/10.1007/s10278-025-01449-y